服务热线
15157931817
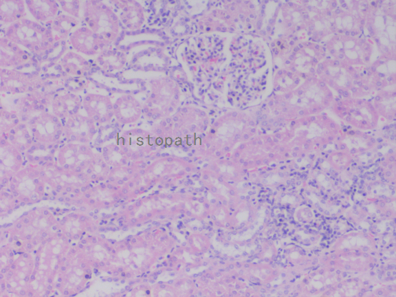
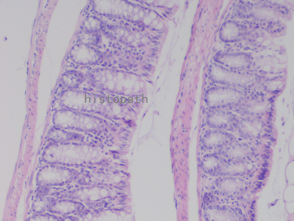
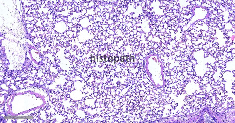
苏木精--伊红染色法(hematoxylin-eosin staining),简称HE染色法,石蜡切片技术里常用的染色法之一。苏木精染液为碱性,主要使细胞核内的染色质与胞质内的核酸着紫蓝色;伊红为酸性染料,主要使细胞质和细胞外基质中的成分着红色。HE染色法使组织学、胚胎学、病理学教学与科研中最基本、使用最广泛的技术方法。
原理:
(一)细胞核染色的原理
苏木色精是从苏木树的树心中提炼出来的,为浅褐色结晶或淡黄褐色的粉末状物。苏木色精本身并没有染色能力,经过氧化后,便能产生具有染色能力的苏木红,苏木红本身与组织的亲和力较弱,但加入含金属离子的媒染剂后(最常用的是铝离子),便对细胞核具有一定的亲和力:细胞核内的染色质主要是DNA,DNA 的双螺旋结构中,2条链上的磷酸基向外,带负电荷,呈酸性,很容易与带正电荷的苏木红碱性染料以离子键或氢键结合。 由于苏木色精在碱性溶液中呈蓝色,所以细胞核被染成蓝色。
(二)细胞质染色的原理
细胞质内主要成分是蛋白质,为两性化合物,细胞包质的染色与 pH 值有密切关系,当 pH 值调到蛋白质等电点 4.7~5.0时,细胞质对外不显电性,此时酸性或碱性染料不易染色。当 pH 值调至 6.7~6.8时,大于蛋白质等电点的 pH 值,表现酸性电离,而带负电荷的阴离子可被带正电荷的染料染色。因此,必须把 pH 值调至细胞质等电点以下,在染液中加入冰乙酸使细胞质带正电荷(阳离子),就可被带负电荷(阴离子)的染料染色。曙红Y是一种化学合成的酸性染料,在水中离解成带负电荷的阴离子,与蛋白质的氨基正电荷(阳离子)结合而使细胞质染色,细胞质、红细胞、肌肉、结缔组织、嗜曙红颗粒等被染成不同程度的红色或粉红色,与蓝色的细胞核形成鲜明对比,曙红Y是细胞质的良好染料。
HE染色流程:
①脱蜡至水:二甲苯Ⅰ5min,二甲苯Ⅱ5min,二甲苯Ⅲ5min,无水乙醇1min,95%酒精1min,75%酒精1min,自来水冲洗数秒;
②染色:苏木素染3min,自来水冲洗数秒,分化液分化数秒后自来水冲洗返蓝,伊红染液染30s;
③脱水:75%酒精30s,95%酒精30s,无水乙醇30s;
④透明:二甲苯1min。
染色结果:
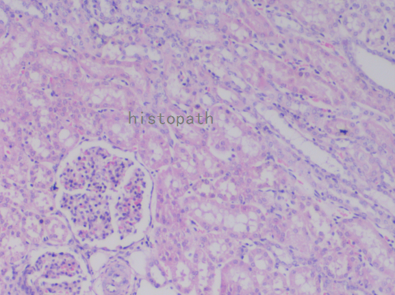
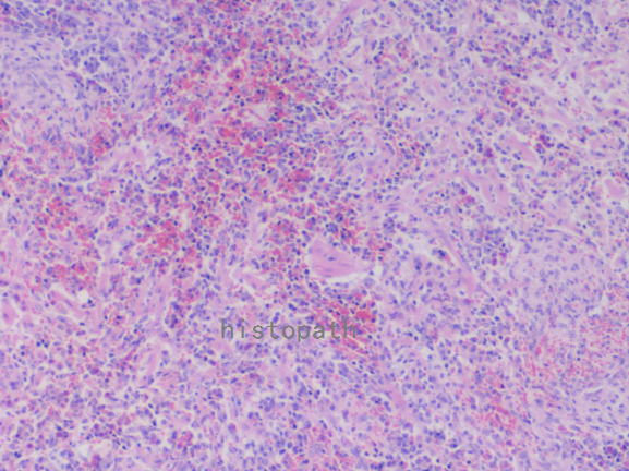
细胞核呈蓝色,细胞质、肌肉、结缔组织、红细胞、嗜曙红颗粒呈不同程度的粉红色。钙盐、软骨基质和各种微生物也可染成蓝色或紫蓝色。核仁呈红色。着色情况不仅与组织或细胞的种类有关,也随其生活周期及病理变化而改变。质量优良的HE染色切片样本,细胞核与细胞质蓝红对比明显,胞核鲜明,核膜及核染色质颗粒均清晰可见。




必须是数字
不能为空
E-mail格式不对
手机号格式不对
不能为空
不能为空