服务热线
15157931817
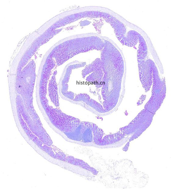
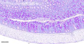
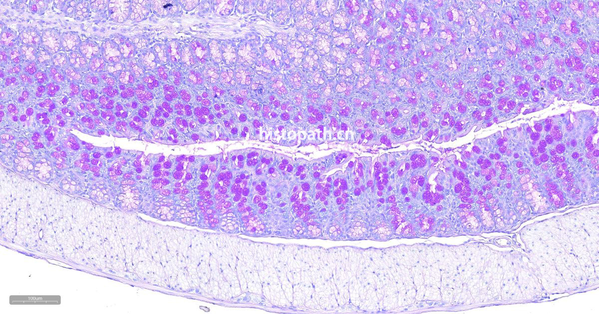
PAS染色原理:
PAS染色,又称为过碘酸-雪夫染色,因其主要用于多糖(polysaccharides)如糖原(glycogen)和粘性物质(mucosubstances)如黏多糖(glycosaminoglycan)、黏蛋白(mucins)、糖蛋白(g lycoproteins)和糖脂(glycolipids)等物质的染色,所以也称糖原染色(Glycogen Staining)。过碘酸-雪夫染色是病理学中常规的染色方法之一,McManus在1946年最先使用过碘酸-雪夫技术显示黏蛋白,该染色法不仅能够显示糖原还能显示中性粘液性物质和某些酸性物质以及软骨、垂体、真菌、色素、淀粉样物质、基底膜等。另外,临床诊疗中PAS染色常用于辅助淋巴细胞性白血病的诊断。
糖原是由D-葡萄糖的分支或直链组成的高分子多糖类化合物,糖原的合成与分解代谢主要发生在肝、肾和肌肉组织中。过碘酸是一种强氧化剂,能将组织或者细胞中的糖原及有关物质中的1,2-乙二醇基(CHOH-CHOH)氧化成两个游离醛基(- CHO),且过碘酸的特点是不再继续将醛基氧化成羧基。Schiff试剂(Schiff reagent),又称品红亚硫酸试剂,含碱性品红和亚硫酸,碱性品红与亚硫酸结合后,失去醌式结构而生成无色品红。无色品红与过碘酸氧化的游离醛基结合,醌式结构恢复,生成洋红色(magenta)产物,定位于胞浆,颜色没深浅与多糖含量成正比。
染色步骤:
(1)脱蜡至水:二甲苯Ⅰ5分钟,二甲苯Ⅱ5分钟,二甲苯Ⅲ5分钟,无水乙醇1分钟,95%乙醇1分钟,75%乙醇1分钟,蒸馏水洗涤1分钟。
(2)每个样本滴加100μl过碘酸溶液,在湿盒中避光反应10分钟后,去除过碘酸溶液,浸泡于蒸馏水中并置于摇床洗涤5分钟。
(3)每个样本滴加100μl Schiff试剂,放入湿盒中,37°C烘箱避光染色30分钟~1小时。去除染色液,浸泡于蒸馏水中并置于摇床洗涤5分钟。
(4)每个样本滴加100μl苏木素染色液,染色30秒。去除染色液,蒸馏水漂洗两次以上,每次3秒钟,直到浮色洗去。
(5)盐酸乙醇分化液分化30秒,去除分化液,自来水漂洗两次,每次3秒钟,自来水返蓝5分钟。
(6)脱水、透明:95%乙醇2分钟,无水乙醇2分钟,二甲苯5分钟,二甲苯5分钟。
(7)中性树胶封片。
染色结果分析:糖原、多糖类物质及其他PAS反应阳性物质呈洋红色,细胞核呈蓝色。

必须是数字
不能为空
E-mail格式不对
手机号格式不对
不能为空
不能为空