新闻中心

硬组织病理介绍

发布日期:2026-01-11
硬组织病理介绍

实验介绍

大动物骨组织样本很难通过脱钙、石蜡切片等方式进行制片。制片前的脱钙时间非常长,且长时间脱钙会影响染色效果。可将此类硬度较高的样本不经脱钙直接进行梯度酒精脱水7200树脂包埋成硬度很高且环保无任何气泡的树脂块,结合后续的硬组织切片机配合磨片机对树脂块进行切片成20μm左右的切片再进行后续染色

带金属植体的骨组织或者带金属植体的其他组织(皮肤、心脏,血管)以及带骨水泥,高分子硬材料的组织还有大动物的骨组织,各种牙齿等高硬度的样本基本无法通过脱钙、软化石蜡切片等方式进行制片。可将此类硬度较高的样本不经脱钙直接进行梯度酒精脱水7200树脂包埋成硬度很高且环保无任何气泡的树脂块,结合后续切磨系统将树脂块通过切片磨片制备成20μm左右薄而均匀的树脂片,再进行后续染色

以上不同类型的硬组织不经脱钙软化处理的树脂包埋切片能够最大限度地保持组织和材料原有结构和形态,不影响后期的染色和结构观察分析。

第一步:硬组织分切

在做硬组织切磨片包埋前或者包埋后需要暴露切面,需要做分切处理

第二步:硬组织树脂包埋

将样本通过脱水浸塑等过程后,进行树脂包埋。由于组织较硬,较致密等原因,包埋剂很难渗透到组织内部,所以浸塑的时间一般都比较长,根据样本种类、大小浸塑时间半个月甚至1个多月不等;(浸塑是在4℃进行,长时间浸塑对钙黄绿素,茜素红,四环素、二甲酚橙等跟钙结合的自发荧光素影响较小)

第三步:硬组织切磨片

树脂包埋好的样本,通过先切后磨(打磨抛光)的方式,将样本制成20-30um左右的树脂切片

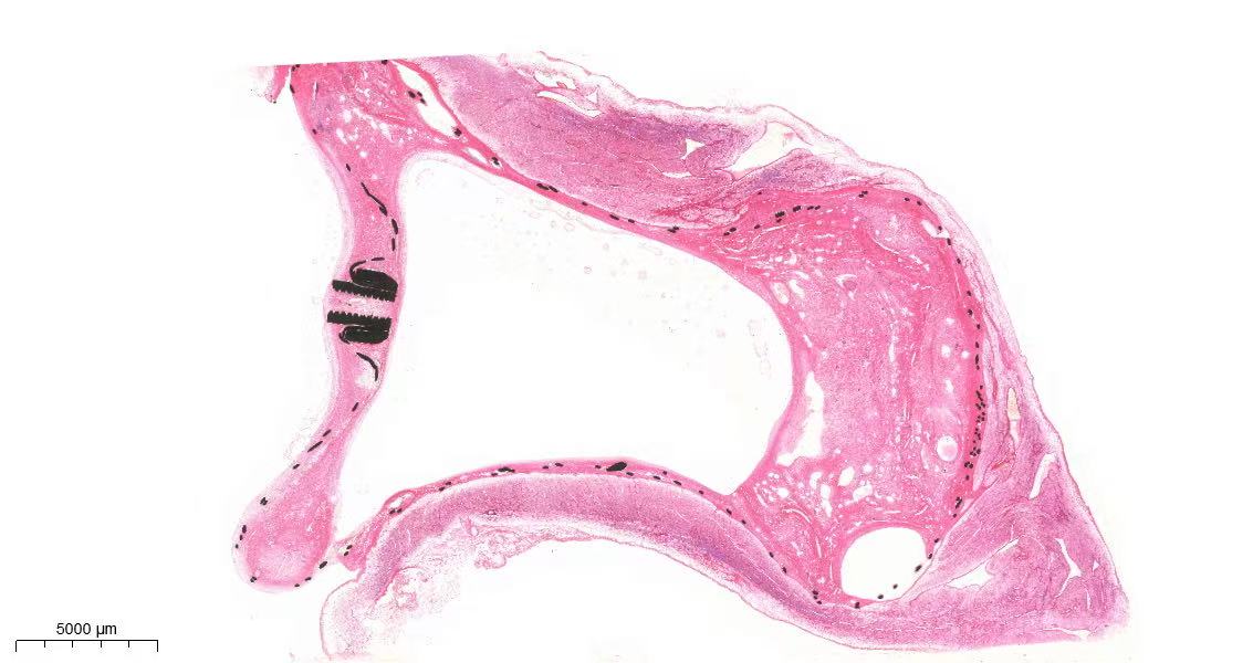
染色效果展示:

2.jpg 

3.jpg 

4.jpg 

5.jpg 

步:硬组织切磨片扫描拍照

切磨片用树脂载片进行制片,整张切片厚约1.6mm,无法用普通的切片扫描仪扫描成像,推荐使用匈牙利的3D扫描仪进行切磨片的扫描全景成像,全景观察组织结构,图像更清晰,分辨率对比度更高。

6.jpg 

7.jpg 

 

 


留言

* 昵称:

不能为空

* 内容:

不能为空

服务热线

15157931817

微信服务号