拍照分析

拍照分析

内容详情 在线咨询


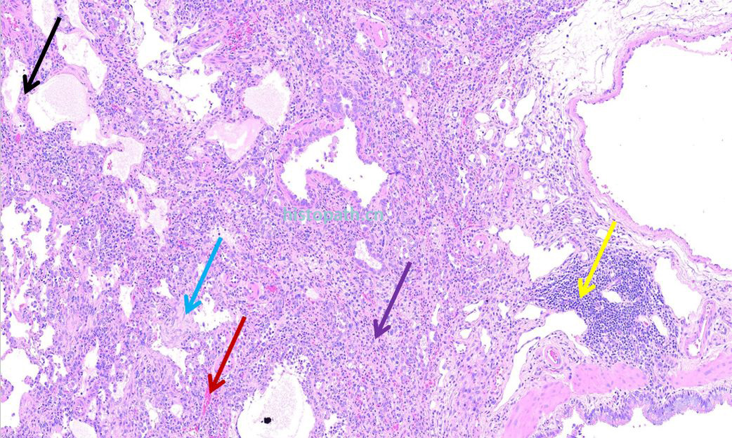
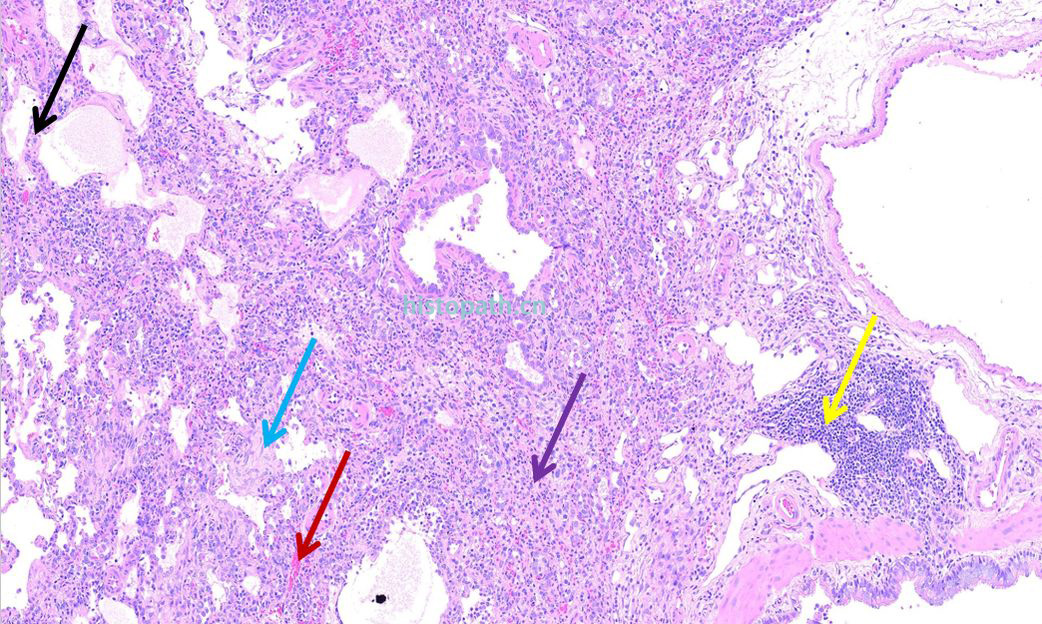
图片标注1.jpg


结果分析:HE染色可见肺组织炎症性改变:肺泡隔增厚(黑色箭头),局部肺组织结构破坏(紫色箭头),血管扩张充血(红色箭头),间质纤维组织增生(蓝色箭头),伴大量炎性细胞浸润(黄色箭头)。


* 订单数量:

必须是数字

* 客户姓名:

不能为空

* 电子邮箱:

E-mail格式不对

* 手机:

手机号格式不对

* 详细地址:

不能为空

* 客户留言:

不能为空

服务热线

15157931817

微信服务号