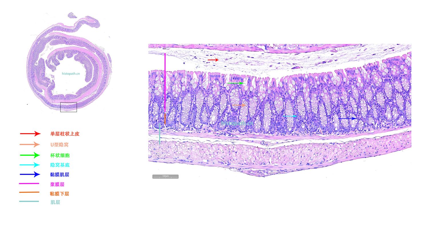
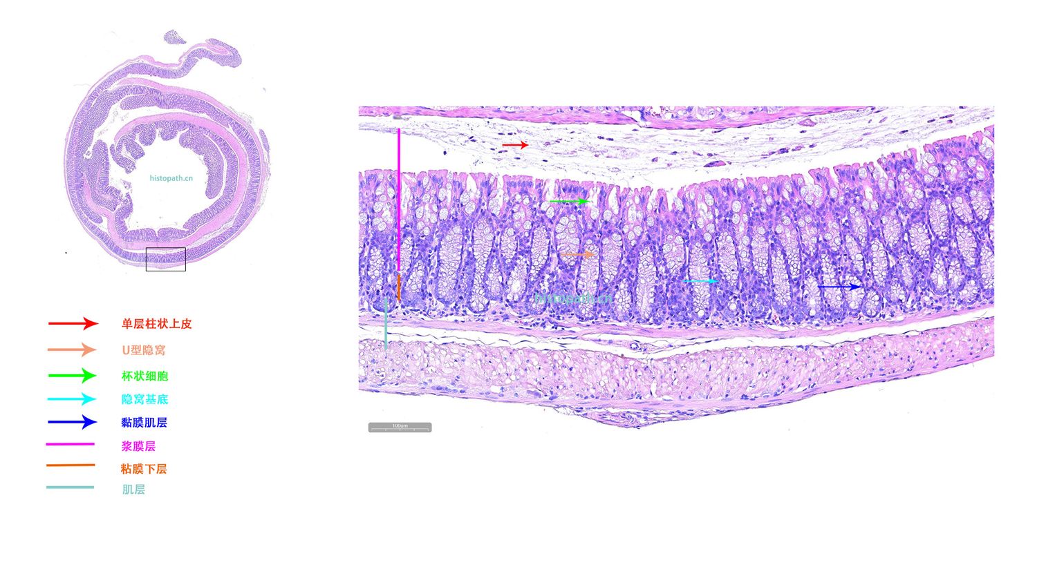
切片扫描运用全景扫描系统可以获得完全数字化、高辩率的样本图像,可以根据需要选择任意大小的区域放大适合的倍数进行图像观察和分析。
必须是数字
不能为空
E-mail格式不对
手机号格式不对
QQ:1594387105
服务热线
15157931817
微信服务号